奥歯は前歯を守るもの
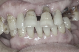
今年も残すところ1ヶ月足らずになり、何となく慌ただしく感じます。さて、下の写真をご覧下さい。
前歯が出っ歯になっているのが解りますが何故でしょうか?
その理由は奥歯を失っているからです。
奥歯を失い前歯に出っ歯になるような外側に向かう力がかかっているのが観察されます。
奥歯は咬合圧をきっちり受け止めて前歯の力がかからないようにすることが重要です。
似たような記事 重症な患者さん
日本歯周病学会専門医 吉川英樹 拝
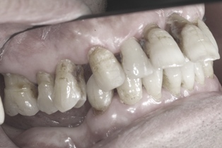
今年も残すところ1ヶ月足らずになり、何となく慌ただしく感じます。さて、下の写真をご覧下さい。
前歯が出っ歯になっているのが解りますが何故でしょうか?
その理由は奥歯を失っているからです。
奥歯を失い前歯に出っ歯になるような外側に向かう力がかかっているのが観察されます。
奥歯は咬合圧をきっちり受け止めて前歯の力がかからないようにすることが重要です。
似たような記事 重症な患者さん
日本歯周病学会専門医 吉川英樹 拝
| 診療時間 | 月 | 火 | 水 | 木 | 金 | 土 | 日 | 祝 |
|---|---|---|---|---|---|---|---|---|
| 9:00~13:00 | ○ | ○ | ○ | × | ○ | ○ | × | × |
| 14:30~18:00 | ○ | ○ | ○ | × | ○ | ※ | × | × |
【所在地】
〒261-0004
千葉県千葉市美浜区高洲1丁目24−2
TEL: 043-279-9991

「JR稲毛海岸駅」より徒歩3分で当院につきます。

駐車場がございますので前もってお申し付け下さい。
稲毛海岸北口駐車場No.114、No.115、No.116