インプラント
インプラント治療に
ついて

永久歯が2度生えればよいのに・・・』と思ってことはありませんか?永久歯がなくなってしまった時に、今までは、取り外しができる義歯や隣の歯を削って欠損している部位を補うブリッジが一般的に使われていました。
今日では、インプラント治療がかなり一般的になってまいりました。世界で初めてインプラント治療は、スウェーデンのPIブローネマルク先生によって1965年に行われ、その患者さんのインプラントは現在も全く問題なく機能しているそうです。
欧米では、すでに確立した安全な術式として、多くの患者さん、歯科医師に支持されています。
インプラント治療のメリット
入れ歯のように
ガタつくことがなくなります
取り外し式の入れ歯のように異物感やガタつきがなくなり、自分の歯と同じような機能、感覚を取り戻すことができます。
食事が美味しくなります
噛む感覚が自分の歯のようになりますので食べ物や飲み物がとても美味しくなります。
発音が良くなります
入れ歯のように動いたりすることがないので、発音や発声がもとのように戻ります。
快適な手術環境
インプラント手術を行う場合、多くの患者様は不安をもつようですが心配はご無用です。
局所麻酔で痛みを感じないで手術をすることが出来ます。
また、日本歯科大学の麻酔科の先生の協力で全身管理を徹底し「静脈内鎮静法」を行うことで、気分が落ち着き、うたた寝をしながら手術を行うことができます。また、手術は完全な滅菌、消毒のレベルが必要です。
ご自身の歯が
何故失われたのかを知ること
なぜ歯が失われたのかを知ることが最も大切です。
虫歯なのか、歯周病なのか、かみ合わせが問題なのか、あるいは過去に行われた治療の質が悪いのかをご自身で知ってもらうことが大切です。原因が解れば、壊れないようにすれば良いので、結果も必ず良くなるはずです。
CGF(自身の血液から
骨を作ることができる機械)
イタリアSilfradent社のMedifugeです。痛くなく怖くなく上顎の骨を増やせる方法が開発されました。
その方法とはピエゾサージェリーの器械とCGF(Concentrated Growth Factor)の組み合わせです。
韓国のSohn Dong-Seok先生の開発して超音波のチップで上顎洞のシュナイダー膜を破かずに挙上出来、ご自身の血液を濃縮したゼリー状のものをその空間に入れることでそこに骨を作ることが出来ます。
歯肉再生誘導法について

インプラントの周囲には歯肉が必要か?という議論はずっと歯周病学的に
インプラント学的に論議されていましたがやはり必要性はあると思います。
もしインプラント周囲に歯肉がなく口腔粘膜が接しているとインプラント体と歯肉の付着している部分がなくプカプカと動いてしまい、そこからインプラント周囲に細菌感染を起こし最悪な場合、インプラント周囲炎という結果を引き起こしてしまうからです。
歯、インプラントに付着している歯肉は発生学的に天然歯の周囲にある歯根膜から発生
しているので歯が抜歯されると供給源がなくなり頬っぺたの粘膜が顎堤に攻め込んできます。インプラントを埋入する場所に歯肉がほとんどない状態になってしまいます。
画像は神奈川歯科大学、インプラント科教授の児玉利朗先生の著書「インプラント・歯周再建治療のティシュマネージメント」から引用させて戴きました。
そこで、インプラント周囲に歯肉を作る手術を行いました。
術前は顎堤に2mm程度の付着している歯肉を認めます。

画像の患者様では2mm程度、歯肉が存在するのでテルダーミスというコラゲンを骨膜に縫合して歯肉を作る手術を行いました。(ヨードを使って濃く染色されているのはほっぺの粘膜、薄く染色されているのは歯肉)
手術後のコラゲン・テルダーミスを骨膜に縫合した写真です。

このテルダーミスというコラゲンはやけど等で皮膚を失った時に皮膚を再生するために使わています。それを児玉先生のグループが歯科用に開発したものです。縫合し易いように表層はシリコン層でメッシュ補強されています。このコラゲンは数週間で歯肉に置き換わりますので歯肉再生誘導法と名付けられています。

当院のインプラント治療の特徴
当院のインプラントシステム
Osseo Speedを使っています。
私たちの歯科医院では十数年前からMade in SwedenのAstra Tech Implantを使用しています。
「インプラントはどのくらいもつのでしょうか?」患者様からよく質問されます。
インプラント自体の生着率は十年後で97%を超えています。結局、ほとんどのインプラントは患者さまのお口の中で機能していることになります。
では、3%の失敗、つまり骨と生着しなかった場合です。
もう一度インプラントをその部位・場所に埋入することになります。再埋入した場合は骨結合する確立は初めての場合よりは落ちるそうですが50%以上はあります。
骨が十分にあるとすべての方にインプラント治療が出来ます。また、骨がなくても骨を作ることもできます。
インプラントの寿命
残された歯や骨の状態、または全身状態など、個々の条件により左右されます。術者の技量にも左右されます。世界的な研究では15年間のスパンで95%以上の成功率があります。
インプラントを常に口の中で良好な状態に保つためには、インプラント治療後、天然歯の時と同じように口の中の衛生管理を良くしておく必要があります。
そのためには、歯科医師や歯科衛生士の指示に従い、毎食後の歯磨きはもちろんのこと定期検診は必ず受けるようにすることが大切です。
ドリルを使わない安心で安全な
インプラント手術
多くの患者さんはインプラントオペは怖いと言いますが、そんな患者さんにはドリルを使わないインプラントオペがあります。
大口式インプラントと言います。
図のようにドリルはほとんど使用せずに骨を拡げてインプラントを埋入します。
これなら、安心ですね。また、ドリルを使わないので神経や動脈を損傷する危険がなく安全です。

下顎に2本大口式を使用してインプラントオペを行いました。


ドリルを使わないので術後の出血も少ない素晴らしい術式だと思いました。今後は多用しそうです。

インプラント歯周炎のレーザー治療(Er:Yag レーザーによる)
インプラント治療も一般の方に認知され歯を失った方には無くてはならない治療法だと思いますが、
インプラントの周囲に炎症を起こすインプラント周囲炎という合併症が起こる可能性があり注意が必要です。
天然歯は細菌性プラークにより歯周病を起こし骨が吸収(溶けること)し最後は抜歯という運命になるようにインプラントの周囲に細菌性プラークが付着することによりインプラント周囲の粘膜に炎症を起こしここの骨が溶けてしまうインプラント周囲炎という病気が存在します。
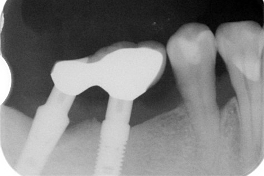
こちらの患者様は2002/02/21、16年前に当医院で私がインプラント手術致しました。
16年後の定期健診でインプラント周囲炎を起こしていることを発見致しました。
レントゲン上で左のインプラント周囲の骨が吸収しているのが観察されます。(2018年2月撮影)
インプラントは骨と結合(oseoinyerration)しやすいように表面の構造が塑像になっていてそのことが一旦、プラークで汚染されるとインプラント体を清掃して無菌的にしてインプラント周囲炎を治癒させる方法がありませんでした。

Er:Yagレーザーによりこの塑像な構造を洗浄して歯石・細菌性プラークを綺麗に除去することが出来るようになりました。
手術時と術後4ヶ月の写真です。


4ヶ月前のオペ時のビデオです。

インプラントの型取り
最近のインプラント上部構造はCAD/CAM(3Dプリンターのようなものです)で一気に作成されるのでインプラントのクラウンブリッジの精度は模型作りの正確さが命となります。
精度の悪いインプラント上部構造はイ⭕️⭕️の家具のように、こちらの木ネジを締めるとあちらの木ネジが締まらなくなったりクラウンがギッタンバッコンしますがインプラント補綴は完璧なフィットが求められます。このことはとても重要でどこまで適合してフィットしていれば良いのかという明確な答えはありません。インプラントというとどうしても外科的なことばかり注目されがちですが、上部構造である補綴物の構造は重要で完璧な適合が求められます。
インプラントの型取り、専門用語で印象は写真のようにアバットメントインプレッシンピックアップという専用の器具を使用して行います。
その時に重要なことは骨の中に埋入された杭、チタンの釘みたいなものですが専門用語でFixtureと言います。
これらの位置関係が寸分の誤差がないように間接模型に再現されなければなりません。
その正確さのためにラダーフレームという金属のハシゴのようなもので固定が必要になります。

このハシゴのようなラダーフレームとアバットメントピックアップを樹脂(パターンレジン)で固定して型取りします。
このラダーフレームを作成するために既にこの模型作成の前に型取りをしてもう一つ石膏模型を作成しています。
つまり、この石膏模型は2回目の模型ということです。
患者さんには2回型取りをさせてもらっています。

患者さんには時間的にも大変ですが、この2回型取りをするといことはインプラント補綴にとって重要になります。
先日は患者さんからクレームを言われました。「型取りを2回もして合わないなんておかしいいんじゃないか?」と。
十分に説明したつもりですが専門的すぎて理解不能なのか?
歯科はえらい難しいものなのです。ちっとやそっとでは完璧な適合など得らない。
しかし、完璧な適合なしではインプラントは失敗に終わります。
見た目は細かく小さいですが何十階というビルを建てるということと同様の緻密さ精度が要求され、その誤差が肉眼では判定出来ません。
インプラント治療の流れ
診査・診断
レントゲン写真により顎の骨の状態を診査します。レントゲン写真は二次元の、平面の状態なので、CTを撮影して、三次元の状態で診査することが重要です。

一次手術
局所麻酔をし、歯肉を切開します。
歯槽骨にインプラント体より少し小さめの穴をあけ、その穴にインプラントを埋入します。
埋入したインプラントに歯肉をかぶせた状態で縫合すれば、一次手術終了です。

治癒期間
インプラントと骨が結合するまで約3ヶ月から長い方で6ヶ月間待ちます。
この間に、インプラントの素材であるチタンと骨とがしっかりと結合し、自分の歯でいう、歯根と同じような役割を果たせるようになります。

2次手術
人工の歯を取り付ける準備をします。
局所麻酔をして歯肉を切開しアパットメントを取り付けます。切開した歯肉を縫合すれば二次手術終了です。
この状態で、歯ぐきが治るまで1~6週間おきます。二次手術を行わない1回法の手術法もあります。

人工歯冠の作成
歯肉が治った時点で型を取り、人工の歯を作ります。
形や色などは患者さんに合わせて作製し、インプラントにスクリューで固定します。
噛み合わせの調整をして完了です。
インプラントへの固定は、人工の歯をセメントにより固定する方法もあります。

ソケットリフト法

ソケットリフト法とは
インプラント治療を行う際、上あごの骨が薄いと、インプラントをしっかり固定できない場合があります。そのような時に行うのが「ソケットリフト法」です。
ソケットリフト法は、インプラントを埋め込む穴から骨の上にある「上顎洞(じょうがくどう)」という空洞を少しだけ押し上げ、その部分に骨補填材(骨の再生を助ける材料)を入れて骨の厚みを増やす治療法です。大きく切開せず、比較的体への負担が少ないのが特徴です。
この方法により、従来ならインプラントが難しかった薄い骨の方でも、インプラントを安全に埋め込むことが可能になります。治療後はしっかり噛めるようになり、ご自身の歯に近い快適さを取り戻すことができます。
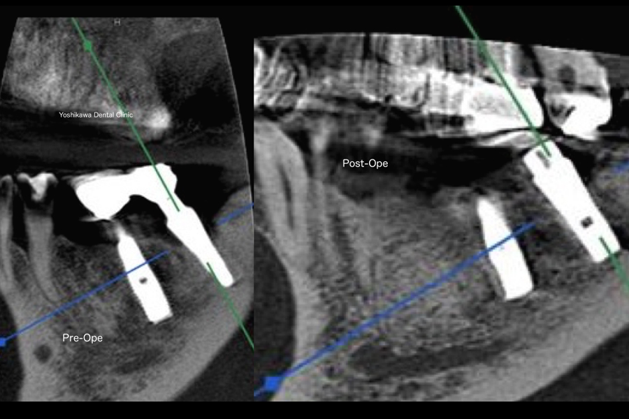
サイナスリフト・
上顎洞底挙上術をした症例
ソケットリフト法 超音波を使用して上顎洞に骨が出来ました。
5カ月前にサイナスリフト・上顎洞底挙上術をした症例をご紹介致します。
上顎骨の内部には上顎洞と呼ばれる大きな空洞が存在します。
この空洞は様々な要因がきっかけとなり、拡大する傾向を持っています。
さらに、歯がなくなると歯槽骨も吸収しますので、上顎においては歯槽骨側と上顎洞側から骨吸収が進行することも少なくないのです。
そこで、膨らんできた上顎洞に移植骨や骨補填材、最近ではインプラント本体の一部を挿入して、上顎洞の底部分を押し上げる技術が開発されました。これが上顎洞底挙上術です。
サイナスリフトにはウィンドウテクニックとソケットリフト法の2つの方法があります。
今回はソケットリフトを選択致しました。
インプラント窩を形成後、オステオトームという棒状の器具をマレットで叩いて、上顎洞骨底部を骨折、上顎洞粘膜を挙上させて新たに骨高径を獲得する方法を言います。
しかし、マレットによる槌打は、頭部への衝撃が強く、決して優しい方法とは言えないでしょう。
また、マレットで叩く時に上顎洞の膜を破いてしまうリスクがあります。
そこで、ピエゾエレクトリック・超音波の器械の登場です。
超音波の周波数で骨は削ることが出来ますが軟組織には作用しないので、上顎洞の膜は破けません。こちらの患者さんは上顎第1小臼歯、第2小臼歯、第1第臼歯、第2大臼歯の4本が欠損しています。
上顎右側第1小臼歯部
第1小臼歯部は上顎洞までの骨の高さが9mm位ありましたので通法通りインプラントを埋入出来ました。

第2小臼歯部
第1小臼歯、第2大臼歯部は通法通り、骨移植なしにインプラントを埋入致しました。

第1大臼歯部
第2小臼歯部、第1第臼歯部は1~3mm位の骨の高さしかなくソケット部(歯槽堤の頂上)からピエゾエレクトリックを使用して、水圧にて上顎洞粘膜を挙上して骨補填材とCGFをそこに入れました。

術後の5ヶ月後のパノラマ写真
骨を作ったところにはこれから、インプラントを埋入します。

よくあるご質問
Q.インプラントは
痛くありませんか?
A.ご心配なく。
一般的には局所麻酔でインプラントの手術は行われますが、インプラントの手術が怖い方は、静脈内鎮静法と言って、半分眠っている状態で手術が出来ます。
また、麻酔は完全に効いている状態でインプラントの手術は行われますのでどうぞご安心下さい。
Q.インプラントの成功率は
どのくらいですか?
A.多くの文献では10年以上の期間で95%以上の成功率があります。
また、5%の失敗は骨との結合が出来なかった失敗が多く、再度インプラントの埋入を行うことでリカバリー出来ます。
Q.どのメーカーのインプラントを
使用していますか?
A.私たちの医院ではASTRA TECH(スウェーデン製)のインプラントを使用しています。
ASTRA TECHの研究開発責任者はStig Hanson 工学博士・薬学士で、歯周病の世界的権威Lindhe教授と共にインプラント周囲の歯肉炎を起こしにくい非常にバランスの良いASTRA TECHインプラントを完成させました。
インプラントメーカーを選択することは、とても重要です。
インプラントメーカーがもし倒産でもしたら部品は供給されないので困ってしまいます。
私たちが選択したのは世界3大メーカーの一つASTRA TECHです。心配はないと思います。
Q.インプラントの治療期間は
どのくらいですか?
A.2007年の秋Lindhe教授のセミナーへ行ってまいりましたがその時、ASTRA TECHの場合、上顎で3ヶ月、下顎で2ヶ月でオッセオインテグレーションするとおっしゃっていました。従って、3ヶ月少々で上部構造をできます。
Q.インプラントの治療費は
いくらですか?
A.インプラントを埋入する本数によっても異なりますが当医院ではインプラント埋入一次手術20万円。
頭し2次手術3万円。上部構造10万円であります。本数が多くなると1割~2割安くなります。

