親知らずは早期に抜歯するべきです No4
日本列島は観測史上最大の寒波に見舞われ首都圏でも珍しく積雪がありました。
寒さが厳しいので皆様、風邪をひかないようにうがい、手洗い、口腔清掃の徹底をお願い致します。
さて、斜めに生えた親知らずは早期に抜歯するべきだと私は思います。
こちらの患者さんも矯正医で矯正が始まった後に当医院にご来院下さいました。
レントゲンを撮影すると親知らずの手前の歯が虫歯になっているではありませんか?
どうして抜歯しなかったのか後悔の念が先立ます。
しかし悔やんでも仕方ありません。
CTとマイクロスコープとエルビウムヤグレーザーで解決
幸いCTを撮影すると何とか治療できる可能性がありました。
歯科の治療は奥に行けば行くほど困難が伴います。
何しろ器械やインスツルメント、光さえ届かず見えません。
見えないところは治療不可能です。
口を開ける範囲は限られているので歯を削る器械も入らないことがあります。
歯科の治療はそのくらい難しいものなのです。
先ずは斜めに生えた親知らずを抜歯しました。親知らずの抜歯はそれほど難しいものではなく終えました。
次に虫歯の部分の治療です。
実際ミラーの反射を使い虫歯を除去しようとすると歯肉が被ってきますので歯肉をエルビウムヤグレーザーでカットする必要があります。CTでカットする量を計測しているのでためらいはありません。虫歯の削除量も計測しているので同様にためらいはありません。肉眼の保険治療ではほぼ不可能なマイクロスコープを使用した高度な治療です。
さて次は型取りですがこれは非常に困難を伴いました。
通常、私はシリコンゴムで型取りをするのですがシリコンゴムが歯の深い部分に届いてくれません。
もし、マイクロスコープ、CT、エルビウムヤグレーザーがなかったらこの治療は不可能です。
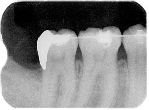
術後のインレーを入れた後のレントゲンです。

患者さんも大きなお口を開けなければならず何回も型取りをされて大変でしたね。
皆様も親知らずにはご注意を。
吉川英樹 拝



