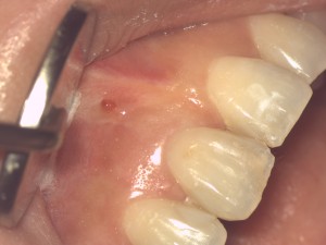
根の先の歯肉にオデキのようなものが出来た
昨日このように訴える患者さんがご来院下さいました。
「前歯の根の先におできのようなものが出来ているので見て欲しい」
「数日前に、冷たいものがしみていたのだけれど今はしみない」
「1年前に虫歯の治療で白い詰め物をされた」このような訴えでした。
私は話を聞いただけでどういう状態になっているか想像できます。
なぜならば、このようなことは本当に頻繁に起きる現象なのです。
この病状は根尖性歯周炎と言います。
根管に細菌感染を起こしてその細菌が根管の先端に到達して根の外側に向かって毒素を出します。
そうすると、体を守るために働いている兵隊さんである白血級が細菌の毒素をやっつけるために働くので、白血球の死骸がそこに溜まります。これを膿と言います。
膿が溜まると膿はそこから出ようという力が働きます。そうすると、組織の弱い部分を通じて歯肉を突き破り、膿の路が出来ます。
これがおできの正体です。
排膿路であるこの路を昔は「フィステル」と呼んでいました。しかし、フィステルの定義は内臓間の異常交通路や上皮に覆われた通路となっているため、AAE(米国歯内療法学会)では2003年から「sinus tract」に統一した。
このような状態になった理由は、こちらの患者さんでは1年前にコンポジットレジンの白い詰め物が適切に治療されていなかったことが考えられます。
コンポジットレジンの接着技法のどこか不備があり、そのために接着が阻害され歯とコンポジットレジンの間にスキマが出来て、そこから細菌感染して根の先に病巣、膿を作ったもの考えられます。
コンポジットレジン充填は正しく行わないと結果が伴わず失敗に終わります。
基本的な技術がこの治療にはとても大切です。
たとえば、プライマー処理といって切削された歯面をクリーニングしますが、これは20秒きっちりやる。
ボンディングの光照射器もいつも照射面が汚れていないかチェックする。
それからスリーウェイシリンジから出る空気が汚れていないか。唾液が侵入したら一巻の終わりです。
昨日は根管治療を行い歯の中を洗浄・消毒しました。
経過が良ければ、このSinus Tract は間もなく消えるでしょう。
何よりも重要なことは精密な基本通りの治療を行うことです。
似たような記事
日本歯周病学会歯周病専門医 吉川英樹 拝


